About Manahawkin Chiropractic and Manahawkin Retrolisthesis
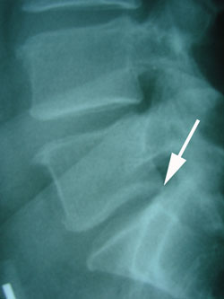
Retrolisthesis can narrow the size of the spinal canal to allow spinal nerve irritation.
The stress on the intervertebral disc as the backward movement of the vertebra occurs creates much stress on the disc which then causes back pain. (See the white arrow for retrolisthesis.)

A thorough, clinical examination that may include imaging is important to your recovery.
In office, Pro Active uses Cox Technic Flexion Distraction and Decompression to widen the canal space, drop the intradiscal pressure and increase the disc height to relieve pain.
You will welcome the Cox Technic manipulation that gently "pulls you apart," as many patients describe the treatment or say they need. Depending on the severity of your pain and symptoms, gentler Protocol I may be applied until 50% relief of pain or more restoring Protocol II may be applied to guide your recovery.



In office adjunctive care may hasten your recovery.
At home you may want to avoid sitting for long periods of time, wear a support brace if recommended, take nutritional supplements that help rebuild disc cartilage, do exercises that strengthen your spine, sleep on a supportive mattress, sit in an ergonomically designed chair, and modify your daily activities as needed.
Contact Manahawkin Chiropractic Center for care of your retrolisthesis.